Sbiancamento denti e faccette dentali
Giugno 13, 2022 Categoria: Estetica dentale, TrattamentiSorriso perfetto con faccette dentali
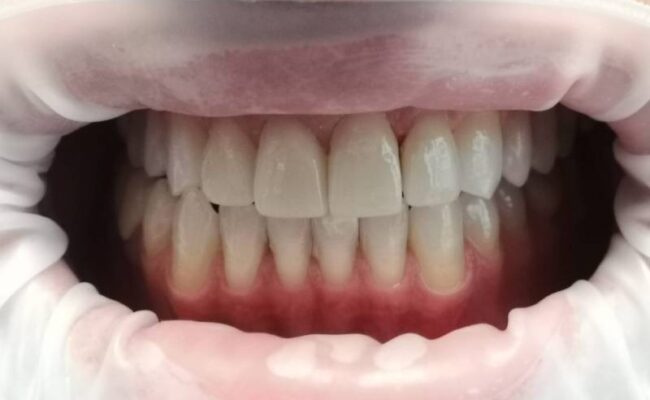
Un consumo frequente di caffè e il fumo possono portare ad un ingiallimento dei denti. Il trattamento di sbiancamento dei denti riporta i denti gialli a una colorazione naturale in breve tempo. Abbiamo ottenuto un ottimo risultato e, per rendere il sorriso perfetto, abbiamo proposto al Signor Marco l’applicazione di quattro faccette estetiche sugli incisivi dell’arcata superiore.
La differenza tra il sorriso prima e dopo i trattamenti è stata sorprendente!





